Κάταγμα ισχίου: Πόσο άμεσα πρέπει να χειρουργηθώ;
Τα κατάγματα ισχίου είναι μια από τις συχνότερες κακώσεις σε ασθενείς μεγαλύτερης ηλικίας. Τα κατάγματα αυτά είναι πιο συχνά στις γυναίκες και η συχνότητά τους αυξάνει καθώς αυξάνει η ηλικία. Οι περισσότεροι ασθενείς δεν γνωρίζουν πόσο σοβαρός τραυματισμός είναι ένα κάταγμα ισχίου, το οποίο μπορεί να σχετίζεται ακόμα και με επιπλοκές που είναι απειλητικές για την ζωή τους. Η θνησιμότητα μέσα στον πρώτο χρόνο μετά από αυτά τα κατάγματα είναι αυξημένη και αυξάνει ακόμα περσότερο αν το κάταγμα καθυστερήσει να αντιμετωπιστεί.
Τι ορίζεται ως κάταγμα ισχίου και ποια είναι τα αίτια εμφάνισής του;
Ως κάταγμα ισχίου ορίζεται το σπάσιμο στο άνω τμήμα του μηριαίου οστού και τα αίτια πρόκλησής του εξαρτώνται από την ηλικία του ασθενούς. Για την πρόκληση καταγμάτων ισχίου στις μεγαλύτερες ηλικίες ευθύνονται κυρίως πτώσεις, ακόμη και από μικρό ύψος. Τα οστά των ηλικιωμένων ασθενών που πάσχουν από οστεοπόρωση χάνουν την πυκνότητά τους και είναι εξαιρετικά εύθραυστα. Επομένως, μια πτώση από μηδαμινό ύψος είναι αρκετή για την πρόκληση ενός κατάγματος ισχίου. Στους νεότερους ασθενείς τα κατάγματα ισχίου προκαλούνται συνήθως εξαιτίας τροχαίων ατυχημάτων.
Ποια είναι τα είδη των καταγμάτων ισχίου;
Ανάλογα με το σημείο που εντοπίζονται τα κατάγματα ισχίου διακρίνονται στα παρακάτω είδη:
- Υποκεφαλικό κάταγμα ισχίου – Κάταγμα μηριαίου αυχένα
- Διατροχαντήριο κάταγμα ισχίου
- Υποτροχαντήριο κάταγμα
- Μεμονωμένο κάταγμα του μείζονος τροχαντήρα
Πώς μπορεί να θεραπευτεί ένα κάταγμα ισχίου;
Η θεραπεία εκλογής για την αντιμετώπιση των περισσότερων καταγμάτων ισχίου είναι χειρουργική. Σκοπός του χειρουργείου είναι η ανακούφιση του πόνου και η άμεση κινητοποίηση του ασθενούς για την αποφυγή των ανεπιθύμητων επιπλοκών. Ειδικότερα, η χειρουργική αποκατάσταση του υποκεφαλικού κατάγματος πραγματοποιείται κυρίως μέσω της επέμβασης της ημιολικής ή ολικής αρθροπλαστικής ισχίου (ανάλογα με την ηλικία του ασθενούς και την συνύπαρξη ή όχι αρθρίτιδας). Κατά την αρθροπλαστική ισχίου αντικαθίσταται ολόκληρη (ολική) η άρθρωση ή μέρος αυτής (ημιολικη) με ένα τεχνητό εμφύτευμα που ονομάζεται πρόθεση.

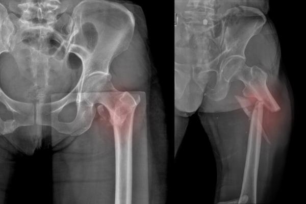
Υποκεφαλικό κάταγμα

Υποκεφαλικό κάταγμα
Σε μια μικρή υποκατηγορία υποκεφαλικών καταγμάτων, τα απαρεκτόπιστα υποκεφαλικά κατάγματα σε νέους ασθενείς, πραγματοποιείται οστεοσύνθεση με κοχλίωση και όχι αρθροπλαστική. Σε αυτή την περίπτωση η άρθρωση διατηρείται και το κάταγμα σταθεροποιείται με 3 κοχλίες (βίδες).

Τα διατροχαντήρια και υποτροχαντήρια κατάγματα αντιμετωπίζονται με ανάταξη (κλειστή ή ανοιχτή) και οστεοσύνθεση. Σε αυτόν τον τύπου χειρουργείου δεν αφαιρείται κανένα οστικό κομμάτι, απλά διορθώνεται (ανατάσσεται) το κάταγμα φέρνοντας όλα τα κομμάτια στην σωστή τους θέση και στην συνέχεια αυτά σταθεροποιούνται (οστεοσυντίθενται) είτε με μια πλάκα και βίδες είτε με ένα ενδομυελικό ήλο.

Η συντηρητική θεραπεία προτείνεται μόνο σε λίγες περιπτώσεις μεμονωμένων απαρεκτόπιστων καταγμάτων του μείζονα τροχαντήρα ή σε περιπτώσεις ασθενών που δεν μπορούν να υποβληθούν σε χειρουργική επέμβαση λόγο της γενικότερης παθολογικής κατάστασης.
Είναι επικίνδυνο ένα κάταγμα ισχίου, αν αφεθεί χωρίς θεραπεία;
Το κάταγμα ισχίου είναι ένας επικίνδυνος τραυματισμός και χρήζει άμεσης αντιμετώπισης. Οι επιπλοκές που ενδέχεται να προκληθούν από ένα κάταγμα ισχίου ενδέχεται να αποβούν μοιραίες ακόμη για τη ζωή του ασθενούς.
Πόσο άμεσα πρέπει ο ασθενής να υποβληθεί σε χειρουργική επέμβαση μετά από ένα κάταγμα ισχίου;
Ο ασθενής που έχει υποστεί ένα κάταγμα ισχίου θα πρέπει να υποβληθεί σε χειρουργική επέμβαση όσο το δυνατόν πιο σύντομα. Σύμφωνα με τις οδηγίες του Εθνικό Ινστιτούτο Υγείας και Άρτιας Φροντίδας (NICE) του Ηνωμένου Βασιλείου ο ασθενής θα πρέπει να χειρουργηθεί το αργότερο 48 ώρες μετά το κάταγμα και την εισαγωγή του στο νοσοκομείο. Μελέτες έχουν δήξει ότι οι ασθενείς που χειρουργούνται μετά τις 48 ώρες έχουν 20% μεγαλύτερη πιθανότητα να πεθάνουν μέσα στο πρώτο έτος.
Το χρονικό αυτό περιθώριο είναι απαραίτητο σε περιπτώσεις ασθενών που λαμβάνουν αντιπηκτικά, καθώς για τη διενέργεια του χειρουργείου πρέπει να τα διακόψουν, βελτιώνοντας έτσι τους χρόνους πήξης του αίματος. Επίσης, σε περιπτώσεις ασθενών που πάσχουν από άλλα σοβαρά νοσήματα, πριν τη χειρουργική επέμβαση είναι απαραίτητη η αντιμετώπισή τους.
Τέλος πρέπει να τονίσουμε ότι σύμφωνα με την διεθνή βιβλιογραφία τα απαρεκτόπιστα υποκεφαλικά κάταγμα στους νέους ασθενείς, τα οποία κοχλιώνονται εντός του πρώτου δωδεκάωρου από τον τραυματισμό, έχουν μικρότερη πιθανότητα να αναπτύξουν άσηπτη νέκρωση και συνεπώς να χρειαστούν ένα δεύτερο χειρουργείο στο άμεσο μέλλον.
Ποιες είναι οι επιπλοκές που ενδέχεται να εμφανιστούν, εάν τα κατάγματα ισχίου δεν αντιμετωπιστούν άμεσα;
Τα κατάγματα ισχίου, εάν δεν αντιμετωπιστούν μέσα σε 48 ώρες, ενδέχεται να παρουσιάσουν τις παρακάτω επιπλοκές:
- Θρομβοεμβολικά επεισόδια: το κάταγμα και η ακινησία ευνοούν τη δημιουργία θρόμβων στα κάτω άκρα. Οι θρόμβοι είναι πιθανό να μεταφερθούν μέσω της ροής του αίματος στους πνεύμονες προκαλώντας πνευμονική εμβολή ή στον εγκέφαλο προκαλώντας ισχαιμικό εγκεφαλικό επεισόδιο
- Αναπνευστικά προβλήματα: παρατεταμένος κλινοστατισμός και περιορισμός της κίνηση του ασθενούς ενδέχεται να προκαλέσει διάφορα αναπνευστικά προβλήματα (π.χ. εισρόφηση) τα οποία συμβάλουν στην ανάπτυξη πνευμονίας.
- Κατακλίσεις : όσο περισσότερο ο ασθενής παραμένει κατακεκλιμένος τόσο αυξάνουν οι πιθανότητες να αναπτύξει κατακλίσεις.
- Ενδονοσοκομειακές λοιμώξεις: η παρατεταμένη νοσηλεία αυξάνει την πιθανότητα να κολλήσει ο ασθενής μια νοσοκομειακή λοίμωξη η οποία συνήθως αντιμετωπίζεται δύσκολα και με παρατεταμένη νοσηλεία.
Συμπερασματικά, η αντιμετώπιση ενός κατάγματος ισχίου θα πρέπει να είναι όσο το δυνατόν πιο άμεση, ελαχιστοποιώντας έτσι την εμφάνιση επιπλοκών, που ενδέχεται να στοιχίσουν ακόμη και τη ζωή του ασθενούς.
Ο Ορθοπαιδικός Χειρουργός κ. Κωνσταντίνος Ζάχος έχει fellowship (εκπαίδευση 3 ετών) στη χειρουργική ισχίου και έχει αντιμετωπίσει πολλά και αρκετά απαιτητικά περιστατικά. Ο κ. Ζάχος γνωρίζει εν τω βάθει τόσο την ανατομία, όσο και την παθολογία του ισχίου, κάτι που τον καθιστά τον πλέον κατάλληλο για τις παθήσεις των ισχίων. Επικοινωνήστε με τον έμπειρο ορθοπαιδικό για οποιαδήποτε απορία ή διευκρίνιση σχετικά με τα κατάγματα ισχίου.